|
【健康資訊】
車禍右肩著地肌腱受傷,肩頸痠痛造成劇烈偏頭痛
員榮復建科與心導管室聯手,以創新微導管栓塞術,助患者擺脫困擾半年的疼痛
一名46歲男子約半年前騎機車發生車禍,連人帶車摔倒,右肩著地受傷,雖有吃藥、復健,但晚上睡覺翻身壓到仍會痛醒,他到員榮醫療體系員榮醫院復健科求診,復健科主任陳冠霖診斷後,建議採用微導管栓塞術,阻斷增生血管,由員榮心導室主任林彤宥執行手術,術後疼痛情況明顯減少。
員榮復健科主任陳冠霖指出,患者自訴車禍後,因為沾黏,右肩膀活動度大幅受限,工作太勞累會因為肩頸痠痛造成劇烈偏頭痛。車禍後吃了數個月的止痛藥並從事復健,但效果有限,晚上睡覺如果壓到右肩仍會痛醒。
陳主任安排患者接受核磁共振,發現右肩旋轉肌腱有撕裂傷,肱骨骨髓水腫、關節囊韌帶撕裂。骨骼超音波也發現患部血流增加,陳主任指出,這類疼痛往往來自於關節處新生的異常微細血管,周邊還伴隨細小且裸露的疼痛神經增生,導致病患長期不適。
考量患者已吃了數個月的止痛藥,但效果有限,近年來,醫界發展出包括「經導管動脈微栓塞術(TAME)」在內的微導管栓塞新技術,透過血管攝影精準找出異常微血管並進行栓塞,阻斷疼痛來源,可大幅緩解症狀。
員榮心導室主任林彤宥醫師表示,臨床經驗顯示,這項療法過程與心導管、腫瘤栓塞治療類似,醫師會從手腕橈動脈或鼠蹊部股動脈進行穿刺,在X光透視下導引微導管,將栓塞劑或微球材料注入異常血管,使周邊異常神經因血流受阻而降低活性,減少疼痛訊號傳導。栓塞後,影像顯示原本「雲霧狀」的血管明顯減少,患者疼痛也隨之改善。
根據國內外臨床研究統計,約有八成患者在治療後疼痛顯著減輕,復發率也比傳統藥物或注射治療低。肩膀疼痛案例通常需針對5至6條血管處理。大部分患者在一週至一個月內即可明顯改善關節活動度,並有助於後續復健;同時復發比率相對低。不過,仍有約15%至20%的患者改善幅度有限。
另個案例是43歲男體育老師因運動傷害,右肩無法正常抬高,稍微抬起至特定角度即感疼痛,且疼痛影響睡眠,伴隨右肩至右手臂及背部的麻痛感•
門診曾接受震波治療、葡萄糖注射及類固醇注射等治療措施。由於疼痛未見改善,經復健科轉介接受林主任手術治療。手術一周後幾乎不再疼痛,肩膀活動度已經可以做仰式的動作,運動功能仍需要靠復健恢復,改善睡眠品質,術後未曾因為痛感影響睡眠,還介紹住宜蘭的體育老師朋友來手術。
第三個案例是一名25歲的廚師,因長期使用左手操作很重的鍋具,因劇烈疼痛無法工作,林彤宥主任以同樣手法將栓塞劑或微球材料注入異常血管,疼痛感完全消失,目前已快樂地在澳洲工作。。
林主任提醒,微導管栓塞術並非適用於所有患者,僅適用於傳統藥物、復健或注射治療無效的慢性疼痛患者,仍需由專業醫師評估後決定。除上述個案外,如媽媽手、網球肘及足底經膜炎等症狀也都適用。
陳主任說,患者術後肌腱及關節囊受傷處再接受自體血小板增生注射治療修復,兩週後再次回診,情況大幅改善,已不再感覺疼痛,術後仍須配合復健治療。

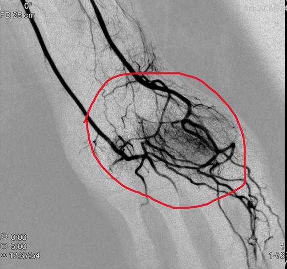
圖說:一名廚師患者因長期用手拿很重的鍋具,造成職業傷害,手部劇烈疼痛無法工作,從影像可以看出手腕及手掌有新生的異常「雲霧狀」血管密佈(圖中紅圈處)。

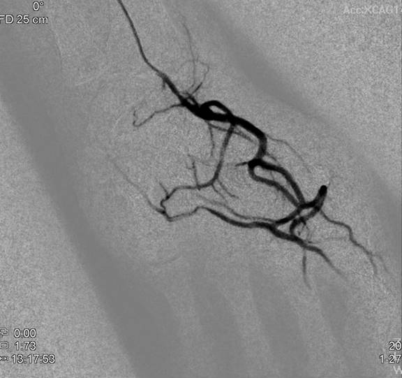
圖說二:因職業傷害無法工作的廚師,經員榮醫院心臟內科主任林彤宥醫師在X光透視下導引微導管,將栓塞劑注入異常增生血管,目前已快樂地在澳洲工作。

圖三:因職業傷害無法工作的廚師,右手新生的異常微細血管(圖左,標注為B),處理過程中異常微細血管逐漸消失(圖中),手術過異常微細血管都被不見(圖右,標注為A)

圖四:員榮心導室主任林彤宥醫師解釋血管栓塞術。
以上新聞由中部廣播提供
|